PARTIE 3 (6 points) - REPRÉSENTATION VISUELLE
L'image ci-dessous représente ce que perçoit un individu âgé de 50 ans au moment où, installé dans son jardin, il s'apprête à consulter un livre. Jusqu' alors sa vision n'avait jamais présenté de défaut.

Au cours de la consultation, son ophtalmologue lui explique que son
problème est dû à une :
Cochez uniquement la réponse exacte
Probablement la 1
(
c'est celle qui est exigée dans le barême-corrigé
officiel).
On peut penser que la photo présentée est floue pour
les plans proches et nette pour les plans lointains, ce qui
correspondrait à un défaut d'accommodation (et donc la
1 puisque le perte de souplesse du cristallin va de pair avec la
presbytie). Mais il peut y avoir d'autres
causes comme
l'hypermétropie (trouble de naissance si j'ai bien compris) et
l'opacification du cristallin partielle peut très bien donner
un résultat similaire pour ce que j'en sais.
Comment peut-on demander à
un élève de DEVINER la réponse d'un
médecin, même si c'est un artifice de langage ?
Comme pour toutes les photos truquées, il y a un artifice qui
est gravement trompeur. La photo est censée montrer ce que
"voit" le parient ou plutôt ce que voit la rétine en
supposant que seul l'appareil optique (lentilles de la cornée
et du cristallin) est déficient. C'est clairement une vision
de physicien qui voit la rétine comme une surface de capteurs
photosensibles qui envoient une information électrique au
cerveau. Cette conception de la vision est clairement
dépassée étant donné que la rétine
est elle-même une partie du cerveau et que le traitement des
images et des sensations visuelles comme la reconnaissance du
mouvement et des formes... est réalisé en partie par la
rétine (voir cours).
Les cônes (dont il existe trois types) et les bâtonnets sont des photorécepteurs rétiniens dont les propriétés déterminent la vision du monde.
Pour réaliser le graphique ci dessous, les photorécepteurs ont été exposés à des longueurs d'ondes différentes. Pour chaque longueur d'onde, le photorécepteur a été soumis d'abord à une intensité lumineuse très faible, puis de plus en plus forte (mesurée en lux). Le graphique représente l'intensité lumineuse minimale pour laquelle le photorécepteur réagit.
Document : intensité minimale de stimulation des
photorécepteurs en fonction de la longueur d'onde

Document de référence :

![]()
D'après cette étude, on peut dire que :
Dans chaque proposition, cochez vrai ou faux
|
|
|
|
|
A. seuls les bâtonnets sont stimulés dans un endroit très peu éclairé |
|
|
|
B. les cônes sont stimulés quelle que soit l'intensité de l'éclairement |
|
|
|
C. les bâtonnets présentent une sensibilité maximale dans le bleu et le rouge |
|
|
|
D. chaque type de cône possède une sensibilité maximale pour une couleur donnée |
|
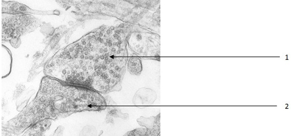
La photo ci-dessous a été prise au microscope
électronique au niveau d'une synapse du cortex visuel (G X
10000)

En observant cette image, un scientifique peut en déduire
que le message peut passer :
Cochez uniquement la réponse exacte
Réponse
1 vraie.
On distingue facilement les vésicules synaptiques dans la zone
1 qui est donc la zone présynaptique, la zone 2 étant
la zone postsynaptique dont la membrane possède les
récepteurs au neurotransmetteur. (voir
cours)
On a identifié le neurotransmetteur naturel impliqué dans la communication entre les neurones des voies visuelles. Il s'agit d'une molécule dont le nom est « sérotonine » et que l'on a représentée ci-dessous fixée à son récepteur neuronal.
Par ailleurs, on connait une drogue, le LSD ("acide"), caractérisée par une puissante action hallucinogène. Il provoque des visions artificielles ou des altérations de la perception visuelle.
|
Modèle moléculaire d'une molécule de
sérotonine fixée à son récepteur
spécifique (en grisé) |
Modèle moléculaire d'une
molécule de LSD |
Les informations présentées sur ces documents,
permettent de penser que l'effet hallucinogène du LSD provient
de :
Dans chaque proposition, cochez vrai ou
faux ![]()
|
|
|
|
|
A. sa formule chimique identique à celle de la sérotonine |
|
|
|
B. sa structure spatiale en partie similaire à celle de la molécule de sérotonine |
|
|
|
C. sa possibilité de se substituer à la sérotonine au niveau de la membrane du neurone aboutissant au cortex visuel |
|
|
|
D. sa possibilité de traverser la membrane du neurone aboutissant au cortex visuel |
|