PARTIE 3 (6 points) - FÉMININ - MASCULIN

Madame A. et son conjoint souhaitent un premier enfant. Cette jeune femme de 28 ans a utilisé jusque-là une contraception orale régulière. Après plusieurs mois d'arrêt de la prise du contraceptif, elle n'a pas de règles et pense être enceinte mais les tests de grossesse qu'elle fait sont négatifs. Elle consulte alors son gynécologue.
Son médecin lui prescrit une première série d'analyses sanguines dont les résultats sont présentés dans le document 1.

Document 1 :

Résultats de Mme A
Dosage de référence

FSH (hormone folliculo-stimulante) et LH (hormone lutéinisante) sont des hormones hypophysaires

Pour préciser son diagnostic, le médecin prescrit également à Mme A. :
- une échographie des ovaires qui ne révèle aucune anomalie ;
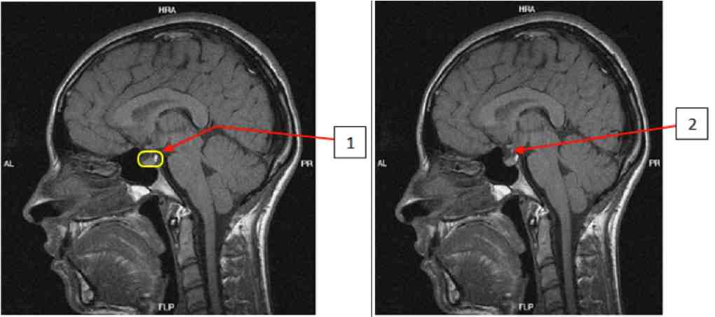
- une IRM* de l'hypophyse (résultats donnés sur le document 2) ;
- un dosage de la prolactine sanguine (résultats donnés sur le document 3). Cette molécule, sécrétée naturellement pendant la grossesse, bloque fortement l'ovulation.

(* IRM: imagerie médicale par résonance magnétique)

 Document 2 : IRM de l'hypophyse http://www.chups.jussieu.fr

IRM de référence
IRM de Madame A

Ce type d'adénome est une tumeur bénigne provoquant une modification de l'activité des cellules sécrétant la prolactine, à l'origine de l'augmentation de taille de la glande.

 

Document 3 : résultat du dosage de la prolactine sanguine http://www.chups.jussieu.fr

Concentration moyenne en prolactine dans le sang en µg/L

Valeur normale (sans adénome)
Valeur mesurée chez Mme A
< 20
>50

 

QUESTION 1 :
À l'aide du document 1 et de vos connaissances, présentez les anomalies hormonales détectées chez Mme A et précisez comment elles expliquent son infertilité.

Corrigé personnel
Mme A ne présente aucune variation cyclique de ses hormones hypophysaires (LH et FSH) ou ovariennes (oestrogènes et progestérone).
Si elle a pu croire qu'elle était enceinte (du fait probable de son absence de règles) il est clair qu'elle ne l'est pas (ne serait-ce qu'à cause de son taux de progestérone quasi nul).
Ses taux d'hormones sont voisins de ceux qui pourraient être observés sous contraception hormonale alors qu'elle a cessé celle-ci.... L'absence de pic de LH et FSH empêche toute ovulation et donc toute possibilité d'être enceinte.

QUESTION 2 :
On s'intéresse aux dosages complémentaires prescrits à madame A.
Les examens complémentaires prescrits ont permis de détecter : Cochez uniquement la réponse exacte

  1. une tumeur ovarienne
  2. la présence de prolactine en trop faible taux chez Mme A
  3. une sécrétion trop importante de prolactine par l'hypophyse
  4. une absence de tumeur hypophysaire

 Réponse 3

QUESTION 3 :
On s'intéresse aux difficultés de madame A à être enceinte.
 La difficulté de Mme A à être enceinte peut être due à : Cochez uniquement la réponse exacte

  1. un blocage de l'ovulation par manque de prolactine
  2. une absence de prolactine
  3. à la contraception utilisée avant ces tentatives de conception
  4. un excès de prolactine qui agit sur l'ovulation en la bloquant

Réponse 4.

QUESTION 4 :
On s'intéresse à une éventuelle stimulation ovarienne de madame A.
Pour obtenir une grossesse, Mme A peut avoir recours à une stimulation ovarienne par injection de : Cochez uniquement la réponse exacte

  1. prolactine
  2. progestérone
  3. progestérone et prolactine
  4. FSH puis de LH

Réponse 4