PARTIE 1 (8 points) - REPRÉSENTATION VISUELLE
Mme L. a eu un accident au cours duquel elle s'est cognée violemment la tête. Elle est inquiète car depuis l'accident, elle souffre d'un trouble de la vision des couleurs. Elle est persuadée que ses yeux ont subi des lésions et qu'elle doit changer ses lunettes.
Document 1 : les consultations ophtalmologiques de Mme L
Document 1a : compte rendu d'un rendez-vous de Mme L. chez
l'ophtalmologiste avant l'accident
Document 1b : compte rendu d'un rendez-vous de Mme L. chez
l'ophtalmologiste après l'accident
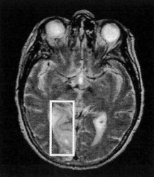
Document 2 : IRM du cerveau de la patiente réalisée
à la demande de l'ophtalmologiste après l'accident

Compte-rendu : "On note une importante atteinte dans la partie
postérieure et interne de l'hémisphère gauche
(zone encadrée)."
D'après http://acces.inrp.fr
Document 3 : Vue de profil de la partie interne de l'hémisphère droit du cerveau humain
La région identifiée par des points correspond à une zone V4, que l'on retrouve sur les deux hémisphères et dont l'atteinte entraîne une perte de la vision des couleurs.
D'après http://acces.inrp.fr
COMMENTAIRE RÉDIGÉ :
Mme L. a subi plusieurs examens afin de découvrir l'origine de
son trouble de la vision des couleurs.
Expliquez-lui, en vous appuyant sur des schéma(s), que ses
anciens verres corrigeront toujours son défaut visuel d'avant
l'accident et qu'en changer ne résoudra pas le trouble apparu
à la suite de son accident dont vous lui préciserez
l'origine biologique.
Votre argumentation s'appuiera sur les documents et vos connaissances
personnelles (qui intègreront entre autres les connaissances
acquises dans différents champs disciplinaires).
L'examen ophtalmologique avec
l'échelle de vision de loin et de près permet de dire
que l'accident n'a provoqué aucune modification de la
qualité de la vision si ce n'est la perte de la vision des
couleurs dans le champ visuel droit seulement (remplacées par
des nuances de gris). Comme l'accident a provoqué un choc
à la tête et que la vision n'a pas été
modifiée sauf les couleurs on peut donc probablement
écarter une cause oculaire. La perte de la vision des couleurs
n'est pas due à une modification de l'il. On ne peut
donc pas la traiter par un appareillage comme des lunettes qui ne
peuvent que changer les propriétés optiques de
l'il (convergence, divergence... voir physique).
C'est donc un problème cérébral (même si
la rétine est considérée comme une expansion du
cerveau, notamment du fait de son origine embryonnaire commune avec
le cerveau).
L'IRM confirme une lésion cérébrale dans
l'hémisphère gauche, ce qui explique les troubles dans
le champ visuel droit étant donné le croisement des
nerfs optiques des champs centraux de chaque il au niveau du
chiasma optique. L'aire cérébrale atteinte est la zone
V4 gauche qui doit être impliquée directement dans le
traitement des couleurs.